Berikut ini Biaya Operasi Pulpa Polip Gigi. Kebiasaan berhemat mestinya sudah kita mulai sejak dini, apalagi kala era covid belum selesai. Di segi lain, biaya hidup yang tinggi juga kerap terbujuk oleh lingkungan area tinggal, lebih-lebih tempat perkotaan besar. Banyak terhitung masalah di mana biaya hidup yang tinggi dihasilkan dari model hidup yang menuntut banyak pengeluaran. Jika Anda berpikir untuk menghemat cost hidup karena Anda paham bahwa type hidup Anda-lah yang mempengaruhi tingginya biaya hidup. Bantu saya untuk operasi polip pulpa. operasi polip gigi persiapan prosedur resiko spesialisbedah . polip gigi cabut gigi polip pencabutan polip gigi . daging tumbuh pada lubang gigi polip pulpa . daging tumbuh pada gigi graham polip pulpa kompasiana . cabut geraham bawah dengan polip besar di lubangnya kalimantan calon ibukota indonesia . tooth extraction polyp cabut gigi polip daging tumbuh pada lubang gigi dokter gigi Baca juga: Biaya

Tooth Extraction Polyp Cabut Gigi Polip Daging Tumbuh Pada Lubang Gigi Dokter Gigi


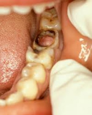
Daging Tumbuh Pada Gigi Graham Polip Pulpa Kompasiana
Bagaimana Proses Pencabutan Gigi Berlubang Yang Disertai Polip Yang Besar Dan Seberapa Sakit Prosesnya Quora


Polip Gigi Cabut Gigi Polip Pencabutan Polip Gigi

Dokter Saibumi Waspadai Daging Tumbuh Di Tengah Gigi Berlubang

Cabut Geraham Bawah Dengan Polip Besar Di Lubangnya Kalimantan Calon Ibukota Indonesia

Operasi Polip Gigi Persiapan Prosedur Resiko Spesialisbedah

Bisa Cod Obat Polip Gigi Herbal Polip Pulpa Obat Polip Gigi Obat Merontokan Polip Gigi Benjolan

Bantu Saya Untuk Operasi Polip Pulpa

Polip Pulpa Tanda Dan Gejala Penyebab Cara Mengobati Cara Mencegah

Jual Produk Polip Gigi Obat Polip Termurah Dan Terlengkap Mei 2021
Setelah mereview Biaya Operasi Pulpa Polip Gigi, Biaya hidup yang tinggi memang jadi kasus yang terlalu susah untuk dilepaskan. Terkadang, ongkos hidup yang tinggi merupakan tuntuan suasana perekonomian negara terkini, membuat kami terperangkap dengan suasana yang ada. Bantu saya untuk operasi polip pulpa operasi polip gigi persiapan prosedur resiko spesialisbedah polip gigi cabut gigi polip pencabutan polip gigi daging tumbuh pada lubang gigi polip pulpa daging tumbuh pada gigi graham polip pulpa kompasiana cabut geraham bawah dengan polip besar di lubangnya kalimantan calon ibukota indonesia tooth extraction polyp cabut gigi polip daging tumbuh pada lubang gigi dokter gigi bagaimana proses pencabutan gigi berlubang yang disertai polip yang besar dan seberapa sakit prosesnya quora jual produk polip gigi obat polip termurah dan terlengkap mei 2021
Komentar
Posting Komentar